Kishu - Es wäre so schön gewesen.... - Seite 9

Copyright © Michael Treude 2019. Alle Rechte vorbehalten, siehe Impressum - Optimiert für XGA - Erstellt mit MAGIX Web Design Premium
Zurück Zurück
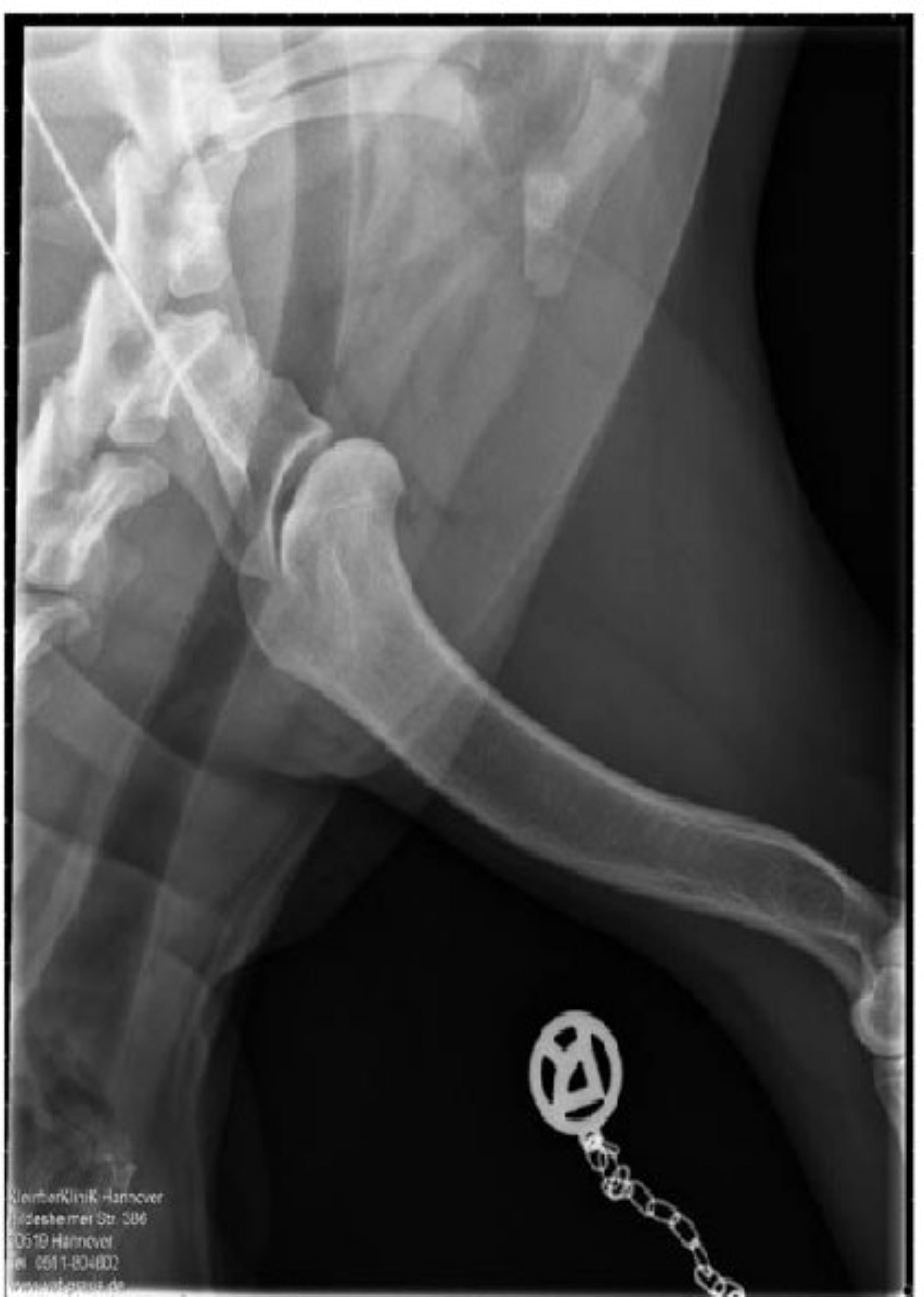
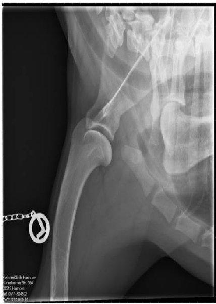
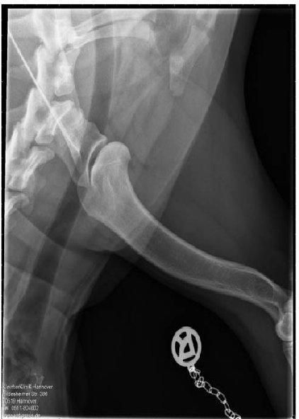
ED - OCD - Röntgenaufnahme
MicTre`s Dream Picture Kishu 2006 - 2017